Pheochromocytoma - NYSORA

Explore NYSORA knowledge base for free:

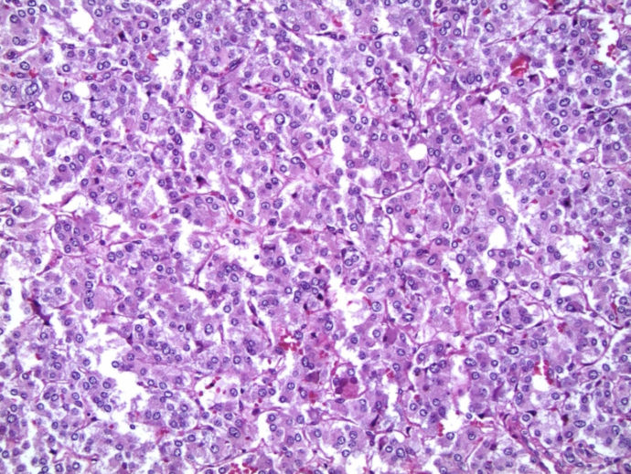
Pheochromocytoma

1. Third Occipital Nerve and Cervical Medial Branch Nerve Block
2. Cervical Zygapophyseal (Facet) Intra-Articular Injection
3. Cervical Nerve Root Block
4. Thoracic Paravertebral Block
5. Lumbar Facet Nerve Block and Intra-articular injection
6. Lumbar Nerve Root (Periradicular) Injections
7. Central Neuraxial Blocks
8. Caudal Epidural Injections
9. Sacroiliac Joint Injection
10. Transversus Abdominis Plane (TAP) Block
11. Celiac Plexus Block and Neurolysis
12. Ilioinguinal, Iliohypogastric, and Genitofemoral Nerve block
13. Piriformis Muscle Injection
14. Pudendal Nerve block
15. Ganglion Impar Injection
16. Superficial Trigeminal Nerve Blocks
17. Greater Occipital Nerve Block
18. Cervical Sympathetic Block
19. Lateral Femoral Cutaneous Nerve Block
20. Suprascapular Nerve Block
21. Intercostal Nerve Block
22. Subacromial/Subdeltoid Bursa Injections
23. Biceps Tendon Sheath (Biceps – Long Head) Injections
24. Acromioclavicular Joint Injections
25. Glenohumeral Joint Injections
26. Subscapularis Tendon/Subscapularis Bursa Injections
27. Sternoclavicular Joint Injections
28. Carpal Tunnel Injections
29. Trigger Finger Injections
30. Wrist Injections
31. Injections for Tendon Dysfunction
32. Elbow Injections
33. Intra-articular Hip Injections
34. Knee Injections
36. Atlanto-Axial and Atlanto-Occipital Joint Injections
37. Peripheral Nerve Stimulation
38. Occipital Stimulation
39. Groin Stimulation
40. Cervical Diskography and Intradiskal Procedures