पिछले अध्यायों में फेफड़ों के अल्ट्रासाउंड के सात मुख्य सिद्धांतों में से पहले तीन का विस्तार से वर्णन किया गया है, और अंतिम चार का उदाहरण दिया गया है। अब प्रोब लेने का समय आ गया है। प्रोब वक्ष की अग्र भित्ति के लंबवत होता है और PLAPS-बिंदु पर लंबवत रहने का प्रयास करता है। सिद्धांत संख्या 4 बताता है कि LUCI में, सभी संकेत फुफ्फुस रेखा से आते हैं। यह एक स्पष्ट रूप से सरल कथन है, लेकिन फुफ्फुस रेखा को सभी परिस्थितियों में, विशेष रूप से उत्तेजित, श्वास कष्ट, बैरिएट्रिक रोगियों, उपचर्म वातस्फीति और अस्थिर वातावरण में, सावधानीपूर्वक परिभाषित किया जाना चाहिए। उपचर्म वातस्फीति से जुड़े गंभीर न्यूमोथोरैक्स के कारण उत्तेजित बैरिएट्रिक रोगियों में, और यह सब एक हवाई मिशन में, LUCI के नियमों से कठिनाइयों को कम करना चाहिए। किसी भी BLUE प्रोटोकॉल को फुफ्फुस रेखा की सही पहचान से शुरू करना चाहिए। हम अनुप्रस्थ स्कैन का उपयोग नहीं करते हैं। इससे फेफड़ों का अल्ट्रासाउंड और अधिक कठिन हो जाएगा क्योंकि थोड़ी सी भी हलचल (चिकित्सक या रोगी की) छवि अधिग्रहण को गहराई से बदल देगी। हमारा 5 मेगाहर्ट्ज माइक्रोकॉन्वेक्स जांच उपकरण फेफड़ों की जांच के इस भाग के लिए एकदम उपयुक्त है।
1. फुफ्फुस रेखा: आधार
सामान्य टिप्पणी
वक्ष का निर्माण पसलियों और फेफड़ों से होता है। वयस्कों में अनुदैर्ध्य स्कैन से पसलियों की सतह का लगभग 2 सेमी, फेफड़ों की सतह का लगभग 2 सेमी, पसलियों का 2 सेमी आदि का एकांतर पता चलता है। पसलियों को आसानी से पहचाना जा सकता है: चापाकार हाइपरइकोइक संरचना और फिर ध्वनिक छाया। दो पसलियों के शीर्ष के बीच, एक "पसली रेखा" खींची जा सकती है।
फेफड़े की सतह, यानी, आंतरिक फुफ्फुसावरण, सामान्य रूप से पार्श्विका फुफ्फुसावरण के विपरीत होती है, और दोनों सामान्य विषयों में फुफ्फुस रेखा बनाते हैं। यह मानक वयस्कों में पसली रेखा से एक सेमी से भी कम दूरी पर दिखाई देने वाली रेखा है। यह दूरी मोटे तौर पर 1/2 सेमी आगे की ओर, थोड़ी अधिक पीछे की ओर होती है। नवजात शिशुओं सहित किसी भी उम्र में, फुफ्फुस रेखा दो पसली सीमाओं के बीच की दूरी के लगभग 1/4–1/3 पर स्थित होती है। फुफ्फुस रेखा एक हाइपरइकोइक, मोटे तौर पर क्षैतिज रेखा के रूप में दिखाई देती है (जब जांच सही ढंग से लागू की जाती है, स्पर्शरेखीय), वास्तव में छवि के आंतरिक विरूपण के कारण थोड़ा मुड़ी हुई होती है (क्षेत्रीय और रैखिक जांच के साथ दिखाई देती है)। फुफ्फुस रेखा किसी भी परिस्थिति में दिखाई देनी चाहिए, विशाल सर्जिकल वातस्फीति को छोड़कर (अंजीर 1).

चित्र 1 चमगादड़ का चिह्न। दायाँ ऊर्ध्वाधर पैमाना सेंटीमीटर का है। पसलियाँ (सेमी 1) अपनी धनुषाकार आकृति और स्पष्ट पश्च ध्वनिक छाया से पहचानी जाती हैं। पसली रेखा (वयस्कों में 1/2 सेमी) के नीचे एक क्षैतिज रेखा (1.75 सेमी) रेखांकित है। यह फुफ्फुस रेखा है, जो मूल रूप से पार्श्विका फुफ्फुस (और आमतौर पर आंतरिक फुफ्फुस) को दर्शाती है। ऊपरी पसली, फुफ्फुस रेखा और निचली पसली हमारी ओर उड़ते हुए एक प्रकार के चमगादड़ का आकार बनाती हैं, इसलिए इसे चमगादड़ का चिह्न कहा जाता है, जो फेफड़ों के अल्ट्रासाउंड में एक बुनियादी चिह्न है। इसे सुरक्षित रखने के लिए हमने यह आकृति बिना तीर के बनाई है।
फुफ्फुस रेखा, दीवार के कोमल ऊतकों (द्रव-समृद्ध) और फेफड़े के ऊतकों (गैस-समृद्ध) के बीच के अंतरापृष्ठ, अर्थात् फेफड़े-दीवार के अंतरापृष्ठ को दर्शाती है। यह सभी मामलों में पार्श्विका फुफ्फुसावरण और केवल तभी आंतरिक फुफ्फुसावरण, अर्थात् फेफड़े की सतह को दर्शाती है जब कोई न्यूमोथोरैक्स (न ही फुफ्फुसावरण) न हो। फुफ्फुस गुहा सामान्यतः आभासी होती है। फुफ्फुस रेखा पार्श्विका और आंतरिक फुफ्फुसावरण को एक रेखा बनाती है। हमारी 5 मेगाहर्ट्ज जांच से, हम दोनों परतों में अंतर नहीं कर पाते, जो कोई समस्या नहीं है।
2. फुफ्फुस रेखा और चमगादड़ चिन्ह
ऊपरी पसली (बायां पंख), प्ल्यूरल लाइन (पेट) और निचली पसली (दायां पंख) द्वारा बनाए गए पैटर्न को बैट साइन नाम दिया गया है, जो किसी भी फेफड़े के अल्ट्रासाउंड में बुनियादी पहला कदम है। यह एक स्थिर लैंडमार्क का उपयोग करके फेफड़ों की सतह का सटीक पता लगाने की अनुमति देता है। अनुदैर्ध्य स्कैन का उपयोग करते हुए, प्ल्यूरल लाइन हमेशा नियंत्रण में रहती है, कठिन परिस्थितियों में भी। चमगादड़ साइन की अवधारणा अन्य सभी क्षैतिज हाइपरइकोइक लाइनों, यानी सतही एपोन्यूरोसिस या गहरी पुनरावृत्ति लाइनों (ए-लाइन्स, सब-ए-लाइन्स, नीचे देखें) के साथ भ्रम से बचाती है। वयस्कों में दो रिब शैडो (चमगादड़ का पेट) के बीच प्ल्यूरल लाइन की दृश्यमान लंबाई लगभग 2.5 सेमी है (चूंकि सेक्टोरियल स्कैन की अवधारणा एक त्रिकोणीय छवि बनाती है
3. चमगादड़ चिन्ह का एक प्रकार
"युवा चमगादड़ का चिह्न"। यदि जांच को उरोस्थि (नीले बिंदुओं के अंदर) के पास लगाया जाता है, तो उपास्थि एक अंडाकार संरचना बनाती है जिसके आर-पार किरण गुज़रती है। हमने इस पैटर्न को युवा चमगादड़ की छवि से जोड़ा (इस विचार के साथ कि हड्डियाँ अभी तक कैल्सिफाइड नहीं हुई हैं)। कुछ मामलों में जहाँ यह परेशान कर सकता है (चुनौतीपूर्ण परीक्षण), जांच को बाहर की ओर ले जाने पर पसलियों का परिचित स्थल मिल जाएगा।
4. उपचर्म वातस्फीति: मोसेलिन प्रकार
इस मामले में गैस की मात्रा कोमल ऊतकों पर आक्रमण करती है, और यह प्ल्यूरल लाइन का पता लगाने में बाधा डालती है: उपचर्म वातस्फीति LUCI में एक मुख्य बाधा है। इसका एक संभावित उत्तर है। हड्डियाँ मौजूद हैं, जो एक कठोर और गहरी योजना बनाती हैं। बशर्ते कि यह रोगी को नुकसान न पहुँचाए, हम गैस को छिपाने के लिए पसलियों की ओर दबाव के साथ जांच करते हैं। इससे अचानक एक अस्पष्ट चमगादड़ चिह्न का पता चल सकता है। यह चिह्न, जिसे "कोहरे में चमगादड़" कहा जाता है, उतना ही मूल्यवान हो सकता है जितना कि कोहरे में खोए हुए तनावग्रस्त पायलट के लिए कोहरे के बीच रनवे का अचानक पता लगना (अंजीर 2).

चित्र 2 कोहरे में चमगादड़ और टी-लाइनें। इस स्पष्ट रूप से चुनौतीपूर्ण आकृति में कई चीजें दिखाई देती हैं। इस मरीज को एक आघात के बाद - काफी गंभीर उपचर्म वातस्फीति थी। बाईं छवि (वास्तविक समय) की व्याख्या करना काफी असंभव था। पसलियों के पिंजरे की ओर जांच को दबाने पर, अस्पष्ट छवियों का पता लगाने का एहसास होता है जो पसलियों की ध्वनिक छाया (उठते सफेद तीर) के अनुरूप हो सकती हैं। संभवतः पसलियों की रेखा के नीचे, एक हाइपरइकोइक, क्षैतिज रेखा, अस्पष्ट रूप से, दिखाई दे रही है, संभवतः फुफ्फुस रेखा (दाएं ऊर्ध्वाधर पैमाने के 2.0 सेमी)। दाईं ओर, एम-मोड छवि में, बहुत हल्की दुर्घटनाएं दिखाई देती हैं, जो ठीक इसी रेखा (काले तीर) से आती हैं या नीचे से ऊपर तक देखने पर, ठीक इसी रेखा (दाएं पैमाने के 2.0 सेमी) पर रुक जाती इस बेहद चुनौतीपूर्ण फ़ाइल में, चमड़े के नीचे की वातस्फीति से पीड़ित एक आघातग्रस्त मरीज़ से, और इस अत्यधिक बाधा के बावजूद, पसलियों की परछाई और फुफ्फुस रेखा ("कोहरे में चमगादड़") और फेफड़ों की नाड़ी को परिभाषित किया जा सकता है। महत्वपूर्ण अल्ट्रासाउंड के नियम भ्रम की कोई गुंजाइश नहीं छोड़ते: कोई न्यूमोथोरैक्स नहीं होता।
विमानन नियमों की तरह, आपात स्थिति शैक्षणिक नियमों को भी बदल सकती है। बहुत कठिन मामलों में, फुफ्फुस रेखा पर गतिशीलता देखना महत्वपूर्ण होता है, क्योंकि इससे इस फुफ्फुस रेखा का सटीक पता लगाया जा सकता है (भले ही पसलियाँ स्पष्ट रूप से दिखाई न दें)। दूसरे शब्दों में, फुफ्फुस रेखा को दर्शाने वाले संकेत के रूप में फेफड़े के खिसकने का उपयोग किया जाता है। इस गैर-शैक्षणिक तरीके, जिसे मोसेलिन संस्करण (एक ब्राज़ीलियाई CEURFer से) कहा जाता है, का सावधानीपूर्वक उपयोग किया जाना चाहिए और इसे आदत नहीं, बल्कि अत्यधिक कठिनाइयों में इस्तेमाल किया जाने वाला एक उपकरण होना चाहिए। यदि हम फुफ्फुस रेखा का पता इसलिए लगाते हैं क्योंकि वहाँ फुफ्फुस खिसक रहा है, तो यह हमें न्यूमोथोरैक्स का तुरंत पता लगाने के आदी होने से रोकेगा, जो कि अत्यधिक आपात स्थिति में LUCI का एक आधार है। फुफ्फुस रेखा को बिना किसी गतिशील संदर्भ के, जहाँ तक संभव हो, केवल चमगादड़ के संकेत का उपयोग करके पहचाना जाना चाहिए।
5. फेफड़ों के अल्ट्रासाउंड का मानकीकरण: मर्लिन स्पेस
एक बार जब प्रोब को इंटरकोस्टल स्पेस पर लगाया जाता है और प्ल्यूरल लाइन की पहचान हो जाती है, तो एक स्पेस बनाना आसान हो जाता है जिसका LUCI में महत्वपूर्ण महत्व होता है। यह प्ल्यूरल लाइन, पसलियों की छाया और स्क्रीन की निचली सीमा के बीच स्थित स्पेस है। इसे मर्लिन स्पेस कहा जाता था (ओशिनिया की CEURFer एलिज़ाबेथ मर्लिन के एक प्रश्न से)।
मर्लिन का स्थान सामान्यतः वायु कलाकृतियों द्वारा व्याप्त है। यद्यपि इन्हें सदैव अवांछनीय माना जाता है, LUCI (सिद्धांत N 5) में इन पर अत्यधिक ध्यान दिया जाता है। शीघ्र संचार के लिए, वायु कलाकृतियों को वर्णानुक्रमिक वर्गीकरण का उपयोग करते हुए संक्षिप्त नाम दिए गए थे (हम उनमें से 12 का वर्णन फुफ्फुस रेखा पर करते हैं: A-, B-, C-, F-, I-, J-, N-, O-, P-, T-, X-, और Z-रेखाएँ)। यह पहली नज़र में दिखने से कहीं अधिक सरल है। अन्य कलाकृतियों का वर्णन फुफ्फुस रेखा के ऊपर (E-, S-, W-रेखा), शरीर के अन्य भागों में (उप-B-, G-, R-, U-, V-रेखाएँ), या शरीर के बाहर (H-, K-रेखाएँ) किया गया है। अधिकांश या तो क्षैतिज या लंबवत रूप से उन्मुख होती हैं। LUCI के सभी लक्षण फुफ्फुस रेखा के बिल्कुल स्तर पर उत्पन्न होते हैं। जब फुफ्फुस परतें अलग हो जाती हैं, तो आंतरिक फुफ्फुसावरण या तो हवा से छिप जाता है (न्यूमोथोरैक्स के मामले में) या पूरी तरह से दिखाई देता है (फुफ्फुस बहाव के मामले में)।
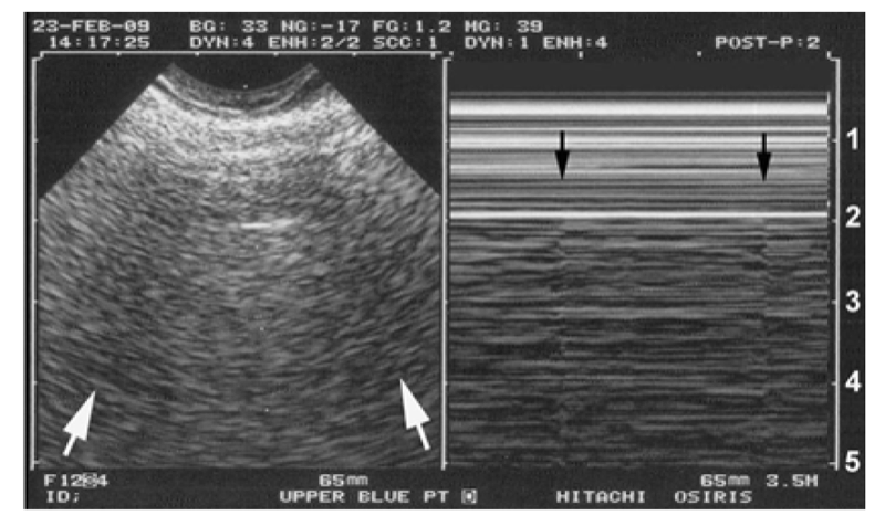
6. फेफड़ों के अल्ट्रासाउंड का मानकीकरण: कीज़ स्पेस
बुनियादी परिघटनाओं को मानकीकृत करना आसान बनाने के लिए, हमने M-मोड द्वारा उत्पन्न एक आभासी स्थान परिभाषित किया है। फुफ्फुस रेखा एक ऊपरी आयत और एक निचले आयत को अलग करती है। फुफ्फुस रेखा द्वारा नीचे की ओर (ऊपर और पार्श्व में छवि की सीमाओं द्वारा) सीमित इस ऊपरी आयत को कीज़ स्पेस (लिंडा कीज़, कोलोराडो की CEURFer से) कहा गया है।अंजीर 3) की के अंतरिक्ष में जो कुछ घटित होता है वह फेफड़े के लिए सतही है।

चित्र 3 की और मर्लिन का स्थान। बाईं ओर (वास्तविक समय में), मर्लिन का स्थान (नीले रंग में), जो फुफ्फुस रेखा के नीचे की स्थिति को दर्शाता है (पसलियों की परछाईं को छोड़कर)। दाईं ओर (एम-मोड), फुफ्फुस रेखा द्वारा अलग किए गए दो स्थान, फेफड़ों के अल्ट्रासाउंड की किसी भी छवि में परिभाषित किए जा सकते हैं। (1) एक ऊपरी आयत, की का स्थान (लाल रंग में), एक आभासी स्थान, जो फुफ्फुस रेखा के ऊपर की स्थिति को दर्शाता है। (2) एक निचला आयत, जिसे एमएम-स्थान को सरल बनाने के लिए कहा गया है, जो फुफ्फुस रेखा के नीचे और नीचे जो दिखाई देता है उसे मूर्त रूप देता है। इस महत्वपूर्ण बिंदु पर ध्यान दें: दोनों छवियां (बाएं और दाएं) एक-दूसरे के बगल में सख्ती से रखी गई हैं। इससे क्षेत्र को मानकीकृत करने में मदद मिलेगी। अब मर्लिन के स्थान (ए-लाइन) की सामग्री का विवरण थोड़ा अपरिपक्व होगा; की स्पेस (श्वास कष्ट का अभाव) और एमएम-स्पेस (फेफड़ों का खिसकना) डेटा से भरपूर हैं: ए-प्रोफाइल का आधार, योजनाबद्ध रूप से एक सामान्य फेफड़े की सतह
शांत श्वास में, की के स्थान को एक स्तरीकृत पैटर्न के रूप में वर्णित किया जा सकता है। श्वास कष्ट के दौरान, दुर्घटनाएं अंदर दिखाई देती हैं। बस एक महत्वपूर्ण विवरण पर ध्यान दें: चमगादड़ के चिह्न का उपयोग करके वास्तविक समय की छवि पर बिना किसी भ्रम के फुफ्फुस रेखा पूरी तरह से परिभाषित है। हमारी 1992 की मशीन (अंतिम अद्यतन 2008) का उपयोग करते हुए, फुफ्फुस रेखा बिल्कुल उसी स्तर पर है, भ्रम की कोई गुंजाइश नहीं, दाहिनी एम-मोड छवि पर, बिना किसी विलंब के जैसा कि लगभग सभी लैपटॉप मशीनों में देखा जाता है। इसका मतलब यह है कि, दाहिनी छवि पर फुफ्फुस रेखा की खोज के लिए, व्यक्ति को बस उस बिंदु तक जारी रखना है जहां यह दिखाई देती है (एम-मोड शूटिंग लाइन में, माना जाता है कि बीच में) दाहिनी छवि तक। आधुनिक मशीनों को इस तरह से कॉन्फ़िगर न करना LUCI के सिद्धांत N 1 का उल्लंघन होगा: सरलता।
यह धारणा, जो अभी यहां प्रस्तुत की गई है, कठिन परिस्थितियों में न्यूमोथोरैक्स का निदान करते समय महत्वपूर्ण प्रासंगिकता रखेगी।
7. फेफड़ों के अल्ट्रासाउंड का मानकीकरण: एम-मोड-मर्लिन स्पेस
इस अवधारणा को स्पष्ट करने के लिए हमें एक और इकाई परिभाषित करनी होगी। की स्पेस को M-मोड छवि के ऊपरी वर्ग के रूप में परिभाषित किया गया है। निचला वर्ग एक लेबल के योग्य है। चूँकि यह मर्लिन स्पेस (वास्तविक समय अवधारणा) से मेल खाता है, इसलिए हम इसे "M-मर्लिन स्पेस" नाम देंगे। LUCI में कोई भी M-मोड छवि दो स्पेस से बनी होती है, ऊपर की स्पेस और नीचे M-मोड-मर्लिन स्पेस, दोनों को प्ल्यूरल लाइन को मूर्त रूप देने वाली रेखा द्वारा अलग किया जाता है।

